_

بلس مديكال الإجراءات الطبية

_

اضغط لتعرف المزيد حول الخدمات والإجراءات الطبية والتجميلية

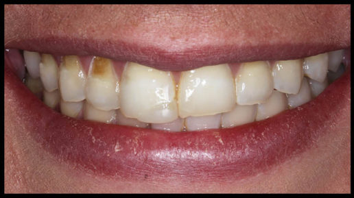
قبل وبعد

_
اكتشف التحول المذهل لابتسامتك مع علاجات الأسنان "قبل وبعد". مع أحدث التقنيات والمتخصصين الخبراء لدينا، استعد ثقتك بنفسك أثناء الاستمتاع برحلتك العلاجية في أجمل الوجهات السياحية.

MPO Slot

قبل
بعد
63482+إجراء طبي
31216+إجراء تجميلي
117+التخصص الطبي
79654+مريض
_

المدونة الطبية

_